Empire Dental
Smile Transformations
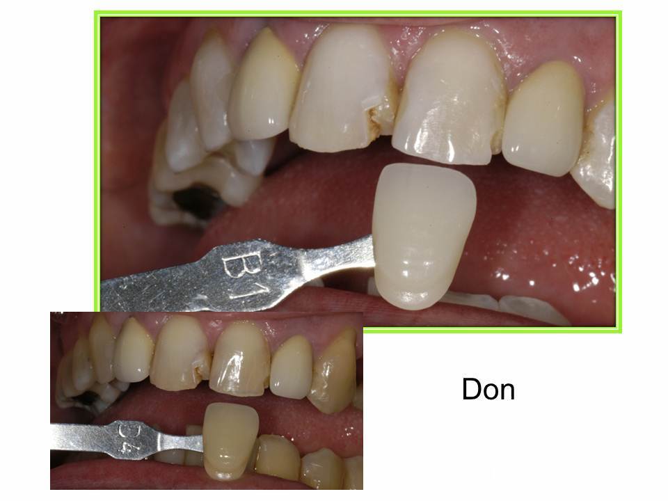
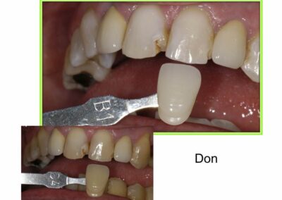
Real Experiences, Real Smiles
Every smile has its own story. Here, you’ll find case overviews that show the starting point, the treatment chosen, and the outcome — all explained clearly and simply. It’s a way to see how different dental solutions can bring back comfort, function, and confidence.
Discover Modern Dentistry with a Personal Touch
Book your visit with Empire Dental today and experience the difference.
